Studio Dentistico Civai
Sorridi con Fiducia – La Tua Salute Dentale, La Nostra Passione
Studio Dentistico Civai
Lo Studio Dentistico Civai è interdisciplinare e si avvale di eccellenze professionali per garantire la massima qualità in ogni disciplina. Il Dottor Civai si occupa di protesi, restaurativa e implantologia; il Dottor Marchese di ortodonzia e gnatologia; il Dottor Fabrizio Ruffa di endodonzia; e il Dottor Gabriele Russo di igiene professionale. Questo approccio permette di offrire un servizio di qualità superiore.
- Cura orientata al paziente
- Ampia esperienza pluriennale
- Normative di biosicurezza clinica
- Tecnologie di ultima generazione
La Nostra Mission
Nel 1996, il Dottor Civai ha realizzato un sogno: fondare lo Studio Dentistico Civai. La sua ambizione è sempre stata quella di offrire odontoiatria di alta qualità, rispettando principi etici e professionali. Ha intrapreso un lungo percorso di formazione con i migliori docenti del mondo. L’obiettivo dello studio è garantire il benessere dei pazienti, salvando denti e restituendo sorrisi con la stessa cura riservata alle persone più care. Formazione, aggiornamento e innovazione tecnologica sono i pilastri della pratica quotidiana.
Scopri i nostri trattamenti odontoiatrici di eccellenza
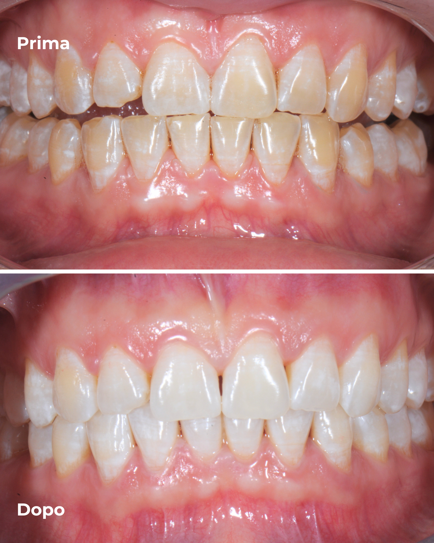
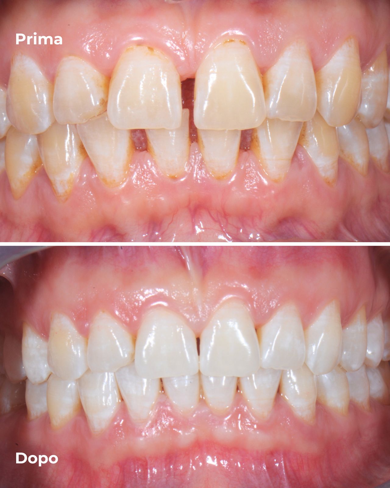
La parodontologia permette la diagnosi e la cura delle malattie gengivali. La parodontite colpisce oltre il 60% della popolazione adulta e, se non trattata, porta alla perdita dei denti. Curare le gengive e salvare i denti è fondamentale per il benessere dei pazienti, riducendo costi biologici ed economici.
L’ortodonzia corregge le anomalie di crescita delle ossa mascellari e la posizione dei denti, garantendo un sorriso armonico e funzionale. La prima visita è consigliata intorno ai 6 anni per intercettare problemi di crescita e risolverli con apparecchi fissi o mobili.
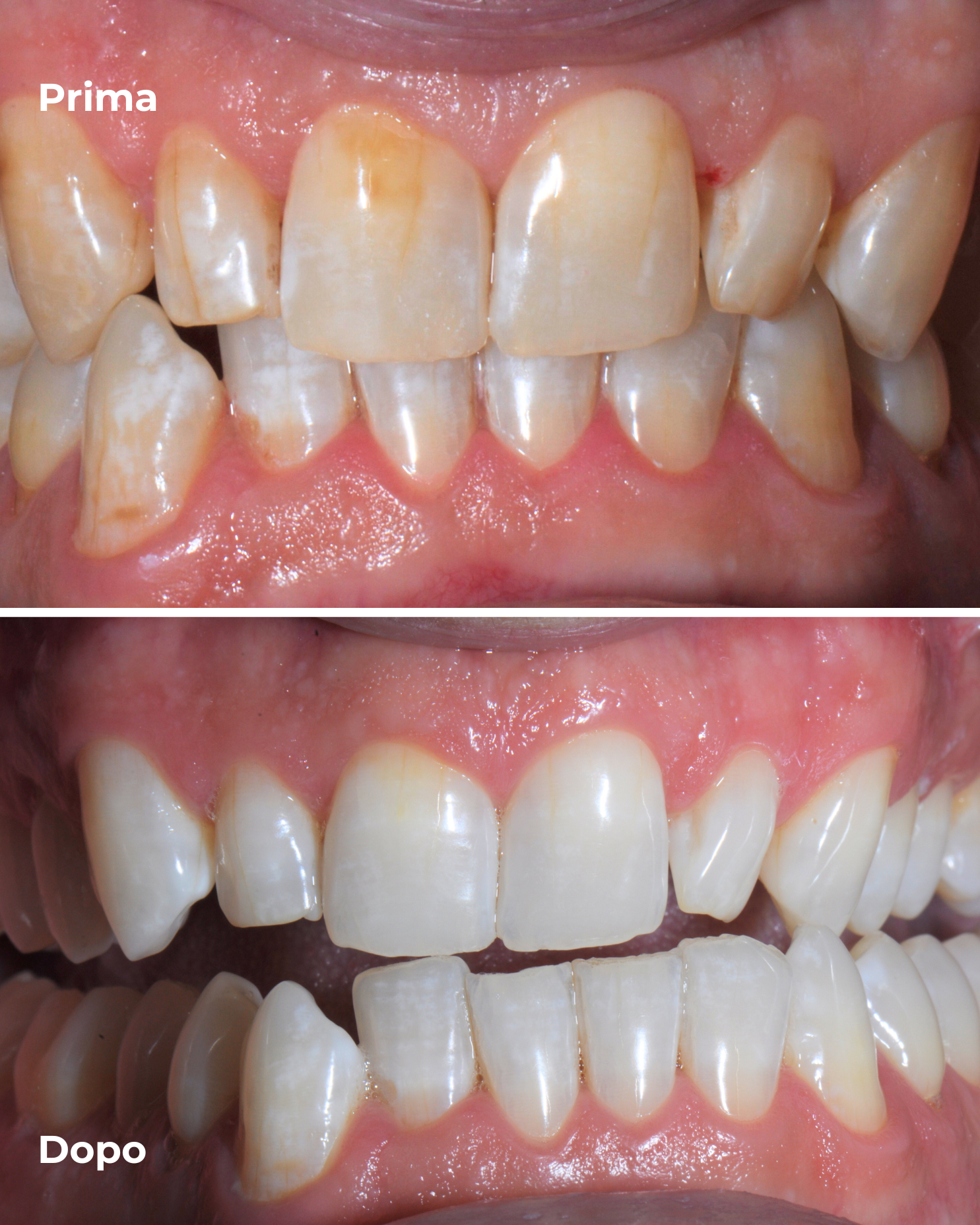
Questa disciplina si occupa della restaurazione integrale dei denti fortemente compromessi. Da alcuni anni preferiamo impiegare ceramiche policristalline integrali, procedendo con un flusso di lavoro totalmente digitale. Dall’impronta ottica senza le fastidiose paste alla realizzazione dei denti. Massima precisione, estetica eccellente, assoluta biocompatibilità.
I nostri interventi
Dicono di Noi
Personale gentilissimo e preparato
I miei complimenti vanno in particolare al Dr Civai per la sua pazienza la sua professionalità,disponibilità nel spiegarti ogni cosa .
In una sola parola Top!!
Il Nostro Staff
Dr. Fabrizio Ruffa
Odontoiatra – Endodonzia
Dr. Gabriele Russo
Igienista Dentale
Tecnologie Impiegate
Il Digital Smile Design combina competenze del team e intelligenza artificiale per pianificare il nuovo sorriso del paziente. Il progetto viene discusso e modificato in base alle esigenze del paziente.
Lo scanner intraorale rileva le forme della bocca senza paste fastidiose, rendendo la procedura più confortevole e rapida, riducendo i tempi alla poltrona e il numero di appuntamenti, senza perdere precisione.
La radiologia digitale moderna è essenziale per diagnosi e pianificazione dei trattamenti, concentrando l’irradiamento solo sulle zone di interesse e mantenendo alti standard di sicurezza.
La sedazione cosciente, tramite inalazione di ossigeno e protossido di azoto, riduce ansia e percezione del dolore, mantenendo il paziente rilassato e consapevole. Le sedute diventano più confortevoli per paziente e operatore.
Questa procedura migliora la qualità e il comfort in implantologia. L’integrazione tra impronta digitale e radiologia 3D permette una pianificazione precisa degli impianti, riducendo rischi e complicanze post-operatorie.
Ultimi Articoli

Il 9 luglio si celebra la Giornata Nazionale dedicata alla parodontite, una malattia che colpisce un italiano su due. Durante l’evento, il Prof. Francesco Cairo, presidente della Società Italiana di

La difficile situazione socioeconomica in Italia rende l’accesso alle cure odontoiatriche un problema per molte famiglie. Già nel 2017, un’indagine ISTAT rivelava che solo il 45% degli italiani sopra i

L’attenzione all’inestetismo del sorriso in cui c’è un’eccessiva esposizione di gengiva dell’arcata superiore è in forte aumento in Italia. Il sorriso gengivale è una condizione di nascita che colpisce il

La crisi economica spinge sempre più italiani a rivolgersi all’estero per le cure dentali. Si stima che ogni anno oltre 200.000 italiani si rivolgano a cliniche in Albania, Romania, Croazia

Secondo una recente indagine condotta da Key Stone, il 66% degli adulti sotto i 55 anni presenta un disallineamento dentale. Tra questi, oltre il 62% desidera correggerlo utilizzando un allineatore
Contatti
Per ulteriori informazioni o per prenotare una visita, contattateci oggi stesso. Siamo qui per voi!
- info@studiodentisticocivai.it
- 081 881 8747
-
C.so Vittorio Emanuele, 21
80059 Torre del Greco (NA) - Studio Dentistico Civai



